全国服务咨询热线:13563821789
0538-8427028
泰山口腔医院

手机:13563821789
电话:0538-8427028
邮箱:tazskq@163.com
网址:www.tayake.com
地址:泰安市泰山区财源街道三里社区三里路10号

解惑|氟斑牙到底是如何形成的?

发布时间: [2025-3-16-11:2:19]    浏览量:135次

听到「氟斑牙」这个名词

大家可能会觉得陌生

不知,你是否注意过

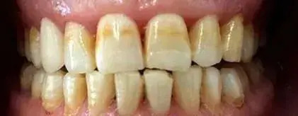
有些人的牙齿上有白色或者黄色的斑块

这就是氟斑牙的典型症状

那么,

氟斑牙到底是如何形成的呢?

我们又该如何治疗氟斑牙呢?

一起接着往下看吧~

什么是氟斑牙?


氟斑牙又称为氟牙症,是牙齿发育矿化时期机体摄入过量的氟,使牙釉质矿化和发育异常所致。通常表现为牙齿表面粗糙,有黄褐色斑迹,分布不均匀,出现在牙齿的各个部位。

氟斑牙的临床症状

① 轻度

也称白垩型,表现为釉质表面像白色粉笔样、不透明斑块即白垩状斑块。

② 中度

也称着色型,出现黄褐色或暗棕色斑块,上前牙较为明显。

③ 重度

也称缺损型,多数牙甚至全口牙出现黄褐色斑块,同时有线状、点状或窝沟状缺损,凹陷内有较深的染色,牙面失去光泽。

氟斑牙该如何治疗?

有些患者会问:刷牙能否改善氟斑牙的症状,让牙齿恢复到健康的状态?答案当然是否定的,简单清洁措施无法对氟斑牙问题起到任何作用。


治疗氟斑牙,一般会采取树脂贴面的方法,它有以下几种优点:


① 尽可能地保存牙体组织,有效地去除氟斑牙表面着色。

② 改善釉质表面的润湿性,促进了美白效果及再矿化修复,稳定脱色效果。

③ 配合药物美白不但能使着色区脱色,非着色区亦能美白。

④ 根据患者的要求、氟斑牙着色深浅、病变程度、部位、邻牙色泽、牙体大小、釉质硬度综合选择,在保留牙体、微创的前提下,塑造出具有个性化颜色和形态的牙齿。

那么,如何预防氟斑牙呢?


① 选用含氟量正常的饮用水,这点可能常人无法检测、识别,但是可以通过长时间观察牙齿颜色得知。

② 使用含氟牙膏得当,成人、儿童都要适量使用,防止儿童吞食。

③ 杜绝劣质茶包,较少使用茶包泡茶的次数。

 多食用蔬菜水果,所吃食物不宜太咸。

关于我们
医院环境
尖端设备
医院动态
诊疗项目
牙齿种植
牙齿矫正
牙齿美白
牙齿修复
牙周治疗
儿童齿科
颌面外科
专家团队
口腔种植专家
儿童口腔专家
美容修复专家
牙齿正畸专家
牙周治疗专家
公益活动
走进校园
走进社区
走进名企
爱牙足迹
联系我们
爱牙足迹
预约治疗

院长微信    官方微信
咨询电话:13563821789(同微信号)
0538-8427028

版权所有:泰山口腔医院
   鲁ICP备2025176544号-1