全国服务咨询热线:13563821789
0538-8427028
泰山口腔医院

手机:13563821789
电话:0538-8427028
邮箱:tazskq@163.com
网址:www.tayake.com
地址:泰安市泰山区财源街道三里社区三里路10号

孩子出现奶瓶龋,这可怎么办?

发布时间: [2025-3-3-14:33:23]    浏览量:141次

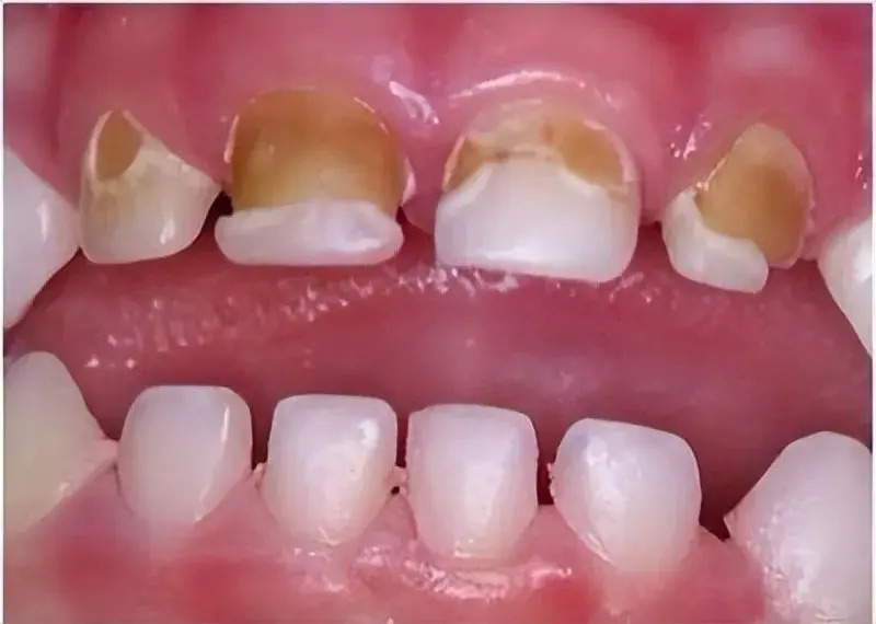
       门诊上常常会遇到这样的孩子,1岁左右的幼儿门牙破坏比较严重,甚至因上唇肿胀前来就诊,一般这种情况多数都是奶瓶龋。

(奶瓶龋)

什么是奶瓶龋?

奶瓶龋是一种由婴儿在夜间喝奶、或含着奶嘴睡觉而造成的龋齿,临床上称为奶瓶龋(又称哺乳龋),表现为上颌乳切牙(即门牙)的唇侧面,及邻面的大面积龋坏,牙齿患龋病后不能自愈(即不能再长好)。由于乳牙的钙化程度低,因此患龋后病情进展迅速,破坏面积广,并且治疗效果差。



孩子一旦患上奶瓶龋,若不及时处理,脱矿继续发展,导致牙齿发黑、牙疼(牙髓炎症或根尖周炎症)、牙冠折断、牙齿缺失,最终会对孩子的颌面部发育,以及心理健康带来影响,因此积极防治非常重要。

那么,患上奶瓶龋如何治疗呢?

对于没有实质缺损的奶瓶龋,需定期涂氟观察,父母学习正确的牙齿清洁方式,睡前不进食奶制品。对于年龄较小的宝宝,尽量改掉含着奶瓶睡及喝夜奶的习惯。

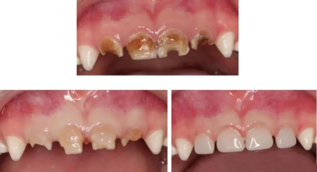
对于有实质缺损的,对症治疗后可以用乳前牙透明预成冠修复。


(乳前牙透明冠修复前后对比图)

       养成良好的口腔卫生习惯,不是等孩子大了有了自理能力开始,而是从牙齿刚刚萌出就开始,甚至在妊娠期,母亲就应该建立起这种意识。

关于我们
医院环境
尖端设备
医院动态
诊疗项目
牙齿种植
牙齿矫正
牙齿美白
牙齿修复
牙周治疗
儿童齿科
颌面外科
专家团队
口腔种植专家
儿童口腔专家
美容修复专家
牙齿正畸专家
牙周治疗专家
公益活动
走进校园
走进社区
走进名企
爱牙足迹
联系我们
爱牙足迹
预约治疗

院长微信    官方微信
咨询电话:13563821789(同微信号)
0538-8427028

版权所有:泰山口腔医院
   鲁ICP备2025176544号-1