全国服务咨询热线:13563821789
0538-8427028
泰山口腔医院

手机:13563821789
电话:0538-8427028
邮箱:tazskq@163.com
网址:www.tayake.com
地址:泰安市泰山区财源街道三里社区三里路10号

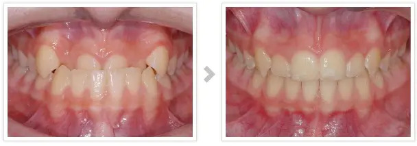
孩子地包天,可以换完牙再矫正吗?

发布时间: [2025-2-15-10:17:36]    浏览量:152次

有些父母认为,孩子迟早是要换牙的,所以不管是什么牙齿问题,等到孩子完成换牙后再解决不迟。但其实像给孩子牙齿矫正,要越早越好。一般医生建议孩子三岁以上,就可以早期干预牙齿问题了。


因为,孩子的口腔是不断发育的,越早进行干预矫正牙齿,越容易成功。尤其是牙齿地包天的孩子!



01

地包天及早矫正更好


首先,如果孩子是严重的地包天,建议3到5岁就应该进行简单的矫正。地包天是特别需要父母注意的情况,因为放任地包天不管,会让宝宝颌骨畸形越来越严重,将来需要手术治疗才行。


其次,孩子的乳牙过早掉落了也需要矫正。不少家长认为孩子的牙齿迟早是要掉落的,过早的掉落也没有关系,但其实,如果乳牙过早的掉落,以后换牙时长出来的新牙,位置会过于往前移。


02

地包天放任不管,会怎样?


“地包天”最直观的影响,就是面部美观了!因为地包天是最常见的颌骨发育性疾病,从侧面看,下颌会非常突出,面形呈月牙状脸,十分影响美观。




其次就是影响正常的口腔功能,如:


① 咀嚼功能:多数地包天患者,其上下前牙无法对合,无法使用切咬功能,且由于反合影响下颌运动,咀嚼功能会降低,后牙的咬合功能亦不能高度发挥。


② 发音和社交功能:发音不清楚,会给儿童的社会交往、学习、心理健康等带来负面影响。如:在学校,被同学取笑;在公共场合,不敢张嘴笑;在社交方面,孩子尽量避开社交场合或不愿参加各种活动;


③ 对颌骨发育造成危害:若地包天形成了前牙的异常锁结关系,上颌骨的发育早于下颌骨,就要尽早解除地包天,否则下前牙就会限制上颌骨的正常发育,等上颌骨停止向前生长,下颌骨还在向前生长时,就会使畸形逐渐加重。



总结:地包天不仅会降低咀嚼效率,加重胃肠负担,还会严重影响儿童交际和学习!


所以说,孩子的牙齿,家长一定要日常呵护好,定期领着孩子去专业机构做牙齿检查,听取医生的建议,需要及早矫正的,就及时矫正

关于我们
医院环境
尖端设备
医院动态
诊疗项目
牙齿种植
牙齿矫正
牙齿美白
牙齿修复
牙周治疗
儿童齿科
颌面外科
专家团队
口腔种植专家
儿童口腔专家
美容修复专家
牙齿正畸专家
牙周治疗专家
公益活动
走进校园
走进社区
走进名企
爱牙足迹
联系我们
爱牙足迹
预约治疗

院长微信    官方微信
咨询电话:13563821789(同微信号)
0538-8427028

版权所有:泰山口腔医院
   鲁ICP备2025176544号-1