全国服务咨询热线:13563821789
0538-8427028
泰山口腔医院

手机:13563821789
电话:0538-8427028
邮箱:tazskq@163.com
网址:www.tayake.com
地址:泰安市泰山区财源街道三里社区三里路10号

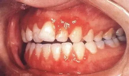
牙龈乳头,怎么会发炎了呢?

发布时间: [2024-8-4-8:46:45]    浏览量:329次

1、什么是牙龈乳头炎?

牙龈乳头炎,是指发生在两颗相邻牙齿牙间乳头处的急慢性炎症。牙龈乳头炎常见的临床表现有牙龈出血、红肿胀痛,有可能向深层发展导致牙周炎,有细菌感染,外物刺激以及食物堪塞等均可引起牙龈炎,最常见的感染是以细菌为主。


急性期牙龈乳头炎要祛除局部的刺激因素,治疗应该以消除炎症,祛除病因为主,通过洁治术彻底清除牙菌斑、牙石,消除造成菌斑滞留和局部刺激的牙龈因素。对于炎症较重的患者,可以配合使用局部的药物。


2、牙龈乳头炎的症状是什么?

牙龈乳头炎的症状,通常表现为在牙齿之间的牙龈乳头的位置,出现红肿充血的状态,牙龈的质地柔韧变为柔软,而尖锐的牙龈乳头会变得圆钝,通常在进行吮吸动作的时候,会出现牙龈乳头的出血。而在急性炎症期时,还会出现受到冷热刺激,发生疼痛的症状甚至出现自发性的疼痛,这时就与牙髓炎的症状比较类似,应该加以鉴别。


牙龈乳头炎症,通常是由于局部存在着牙石等刺激因素或者是牙齿间发生了食物嵌塞,已经用牙签剔牙等,造成了牙龈乳头的损伤而导致的炎性的反应,这时应该针对不同的病因来进行处理,才能使牙龈乳头炎症逐渐消退。


3、病因是什么?

1. 菌斑因素:


菌斑是指粘附于牙齿表面的微生物群,不能用漱口、水冲洗等去除。局部牙菌斑细菌及其产物,是牙周病最主要的病因和不可缺的始动因子。在牙周袋内存在大约500多种可培养的细菌,这些细菌形成了结构复杂而有序的龈下菌斑生物膜。


2. 牙结石因素:


在牙颈部沉积较多,特别是在下前牙的舌侧,此处是下颌下腺和舌下腺等导管开口相对应处。牙结石对口腔是一种异物,它会不断刺激牙周组织,压迫牙龈,影响血液循环,造成牙周组织的病菌感染,引起牙龈发炎萎缩,形成牙周囊袋,特别是龈下牙石危害性最大。


3. 创伤性咬合:


在咬合时,若咬合力过大或方向异常,超越了牙周组织所承受的合力,致使牙周组织发生损伤的咬合,称为创伤性咬合。创伤性咬合包括咬合时的早接触、牙合干扰、夜间磨牙等。


4. 食物嵌塞:


在咀嚼过程中,食物被咬合压力锲入相邻两牙的牙间隙内,称为食物嵌塞。食物嵌塞有水平性和垂直性两种。食物嵌塞引起牙周炎的表征是:龈乳头退缩,牙齿咬合不适,叩诊不适。


5. 其他有病因素:


医源性因素,如不良修复体、不良填充物、不良正畸治疗等。不良个人口腔习惯,如口呼吸、吐舌习惯、牙刷创伤等。这些所导致的急性或慢性牙周组织机械性损伤,也是促使牙周组织炎症的局部因素之一。



4、如何治疗?

对于牙龈乳头炎的治疗,要找到牙龈乳头炎的病因,去除病因,再进行消炎治疗。牙龈乳头炎的病因主要是食物嵌塞或者龈下牙石的局部刺激,导致牙龈乳头炎急性发作,出现牙龈肿胀和牙龈出血。


所以,治疗的第一步就是去除食物嵌塞和龈下牙石或者菌斑,进行龈乳头的冲洗,再进行牙周袋内的上药。如果肿胀的比较厉害,可以口服甲硝唑等抗生素或者用漱口水进行清洁,保持口腔卫生。



5、会自愈吗?

如果牙龈乳头有炎症,比如急性牙龈乳头炎,一般来说是不会自愈的。急性牙龈乳头炎就是由于有食物嵌塞或者是有机械损伤,所以导致的牙龈急性炎症。要想治疗,就必须要去除这种嵌塞的食物,要去除造成炎症的机械损伤,那么它才会治愈。


所以说,如果有急性炎症,要及时就诊检查。检查一下是不是有蛀牙所以引起食物嵌塞,如果是,去除蛀牙的龋坏组织做牙齿的补牙治疗;是不是有不良修复体,有悬突刺激到了牙龈导致的,如果是,那么要修复体重做,也就是要先拆掉再重新制作。

关于我们
医院环境
尖端设备
医院动态
诊疗项目
牙齿种植
牙齿矫正
牙齿美白
牙齿修复
牙周治疗
儿童齿科
颌面外科
专家团队
口腔种植专家
儿童口腔专家
美容修复专家
牙齿正畸专家
牙周治疗专家
公益活动
走进校园
走进社区
走进名企
爱牙足迹
联系我们
爱牙足迹
预约治疗

院长微信    官方微信
咨询电话:13563821789(同微信号)
0538-8427028

版权所有:泰山口腔医院
   鲁ICP备2025176544号-1