全国服务咨询热线:13563821789
0538-8427028
泰山口腔医院

手机:13563821789
电话:0538-8427028
邮箱:tazskq@163.com
网址:www.tayake.com
地址:泰安市泰山区财源街道三里社区三里路10号

哪些情况,表示孩子可能长蛀牙?

发布时间: [2024-3-19-14:39:29]    浏览量:625次

宝宝在成长过程中

有时候并不能完整表达自己身体的不适

父母则需要通过观察牙齿的情况

判断宝宝是否患龋齿


宝宝患龋齿有哪些表现
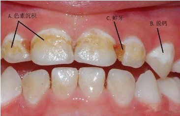
  初期症状:牙齿本来应该是同个颜色,当表面开始有黑点或脱钙的白点出现,或是某处老是塞住食物,表示此处牙齿的牙釉质已遭到破坏。
  中期症状:龋齿若没有加以控制及治疗,会由牙釉质慢慢延伸到牙本质,形成窝洞,此时对甜食及冷热的刺激会很敏感,容易感到酸痛。或是食物一卡进牙缝,就觉得不舒服,但清掉后,不舒服就解除了。
 晚期症状不吃东西、没有塞牙缝也会自然的痛起来,甚至晚上会痛得睡不着,代表已经连牙髓都受到影响。此时牙龈红肿、易流血,有发炎或长脓包症状。若蛀到神经,就必须做根管治疗。


  1、宝宝3岁即可练习刷牙,养成早晚刷牙的好习惯,选择适合年龄特点的牙刷和牙膏,要竖刷不要横刷。不能刷牙的要坚持漱口,在喂奶后给宝宝喝清水。
  2、让孩子少吃零食、甜食,睡前不要吃东西。
  3、幼儿磨牙的表面窝沟比较深,容易积聚细菌而引发龋齿。因此,将窝沟封闭起来以阻止细菌侵入,可有效预防龋齿发生。(“涂氟和窝沟封闭”——孩子牙齿的保护衣)
  4、发现龋齿,父母应及时带孩子看牙科医生。有条件的家庭,应定期带孩子做牙齿检查。

关于我们
医院环境
尖端设备
医院动态
诊疗项目
牙齿种植
牙齿矫正
牙齿美白
牙齿修复
牙周治疗
儿童齿科
颌面外科
专家团队
口腔种植专家
儿童口腔专家
美容修复专家
牙齿正畸专家
牙周治疗专家
公益活动
走进校园
走进社区
走进名企
爱牙足迹
联系我们
爱牙足迹
预约治疗

院长微信    官方微信
咨询电话:13563821789(同微信号)
0538-8427028

版权所有:泰山口腔医院
   鲁ICP备2025176544号-1