全国服务咨询热线:13563821789
0538-8427028
泰山口腔医院

手机:13563821789
电话:0538-8427028
邮箱:tazskq@163.com
网址:www.tayake.com
地址:泰安市泰山区财源街道三里社区三里路10号

牙疼花钱还遭罪,如何预防儿童蛀牙?

发布时间: [2023-9-7-8:48:51]    浏览量:296次

每位宝爸宝妈都希望孩子

能有一口干净整洁的牙齿

吃嘛嘛香

但现实却很严峻

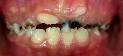
据第四次全国口腔健康流行病学调查结果显示:我国12岁儿童恒牙患龋率为34.5%,5岁儿童乳牙患龋率为70.9%。儿童患龋率呈上升的态势。


近年来,儿童口腔健康越来越受到重视,但仍有不少家长存在疑问:乳牙迟早要换牙的,蛀牙需要治疗吗?怎样才能有效预防孩子蛀牙?下面,为大家解答!

01

乳牙蛀牙,需要治疗吗?

乳牙不仅是儿童时期咀嚼器官的主要组成部分,而且对儿童的生长发育,正常恒牙列的形成、儿童颜面美观方面有着举足轻重的作用。


乳牙为孩子服务的时间长达10来年,乳牙蛀牙如不及时治疗,不仅影响咀嚼,还会发展为牙髓炎,根尖周炎,导致出现食物嵌塞和疼痛,可能会导致孩子挑食、营养不均衡,肠胃功能紊乱,因一侧牙疼而长期用另一侧咀嚼,还会导致孩子脸型不对称(大小脸)等。


乳牙还为恒牙的萌出奠定基础。如果乳牙还没到换牙期就被蛀掉,或者拔掉了,恒牙失去了乳牙引导,就容易出现换牙后的牙齿不齐、牙齿拥挤等,可能会影响孩子的口颌面系统的正常发育,影响孩子的牙齿和面部美观。

乳牙蛀牙还可能会连累恒牙。恒牙的牙胚位于乳牙的下方,如果乳牙龋坏严重,导致牙齿根部感染,可能会导致继承恒牙发育畸形,严重者可导致恒牙发育停止。

02

如何预防蛀牙?

帮助孩子养成

良好的口腔卫生习惯



从孩子萌出牙开始,家长就要给孩子刷牙了,儿童婴幼儿时期,家长可以采用纱布蘸点淡盐水,或使用指套牙刷配合专为3岁以下儿童设计的可吞咽牙膏,帮助清洁宝宝的口腔,当儿童学会漱口时,可使用含氟牙膏。7岁前家长要帮孩子刷牙,并指导孩子渐渐学会独立刷牙。养成早、晚刷牙的好习惯,餐后用牙线清洁牙缝,并用清水漱口。


保持良好的喂养习惯


喝夜奶或含着奶瓶睡觉易造成奶渍残留,引起蛀牙。因此,家长在孩子喝完奶后要帮助孩子及时清洁口腔,1岁后,要减少夜奶,逐渐纠正奶睡的习惯,可用温开水替代,并让孩子学会用杯子喝奶。


养成良好的饮食习惯


多给孩子吃一些可以帮助牙齿清洁的食物,如粗纤维的蔬菜和水果等,不仅可以通过咀嚼促进牙槽骨的生长,也有利于牙齿自洁。


吃蔗糖类、粘性大的甜食,少喝碳酸饮料,进食后应尽量漱口。


采取必要防龋措施


定期涂氟及窝沟封闭,是目前有效预防儿童蛀牙的方法。


儿童磨牙(大牙)通常牙面的窝沟都比较深,容易藏一些食物和细菌,又不易清洁。窝沟封闭就是将牙面彻底清洁干净后,将含氟高分子材料涂在牙齿表面的窝沟将其封闭,防止细菌及其酸性产物进入,同时使得牙面光滑容易清洁,从而避免产生龋齿的方法,这个过程不磨除牙体组织,不对孩子的牙齿有损害。做窝沟封闭的黄金时期是在孩子磨牙(大牙)完全长好,但还没被蛀之前做窝沟封闭:3—5 岁做乳磨牙;6—8 岁做第一恒磨牙(六龄牙);11—13 岁做第二恒磨牙。


定期看牙医


家长从孩子第一颗乳牙萌出后6个月内,就可以带孩子到医院进行口腔检查了,每半年一次。儿童口腔检查除了检查有无龋齿、牙龈及口腔软组织健康状况等,口腔不良习惯,牙齿萌出情况、牙齿发育情况、牙列和咬合情况等亦为重点。定期口腔检查可以早期发现问题,医生可给予正确的口腔健康指导,预防儿童龋齿和错颌畸形等口腔问题的发生,还可以指导父母如何护理儿童口腔,让孩子受益终身。


关于我们
医院环境
尖端设备
医院动态
诊疗项目
牙齿种植
牙齿矫正
牙齿美白
牙齿修复
牙周治疗
儿童齿科
颌面外科
专家团队
口腔种植专家
儿童口腔专家
美容修复专家
牙齿正畸专家
牙周治疗专家
公益活动
走进校园
走进社区
走进名企
爱牙足迹
联系我们
爱牙足迹
预约治疗

院长微信    官方微信
咨询电话:13563821789(同微信号)
0538-8427028

版权所有:泰山口腔医院
   鲁ICP备2025176544号-1