全国服务咨询热线:13563821789
0538-8427028
泰山口腔医院

手机:13563821789
电话:0538-8427028
邮箱:tazskq@163.com
网址:www.tayake.com
地址:泰安市泰山区财源街道三里社区三里路10号

哪几种智齿需要拔除呢?

发布时间: [2023-7-5-8:47:0]    浏览量:344次

大家好,我叫智齿,在牙齿家族中排行第八,从正中门牙往里数,刚好第八颗,一个人最多能长4颗。 我一般在人类16-25岁开始 萌出,这时人的生理、 心理发育 接近成熟,被看做是“智慧到来”的象征,所以被人们叫做智齿。每个人智齿萌出的时间不同,有的20岁以前长出,有的中年以后长出,有人终身不长,也不一定四颗智齿都长全。虽然被叫做智齿,但很遗憾,好名字并没有带来好名声,甚至还成为人类的负担。

哪几种情况需要拔除呢?

①出现蛀牙(龋齿)智齿被蛀,或智齿导致第二磨牙(智齿前面一颗牙)蛀牙。这种智齿清洁难度大,治疗后又蛀牙,引发炎症的风险高。

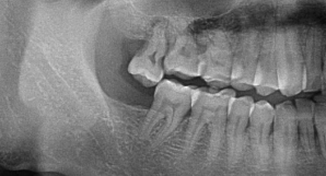
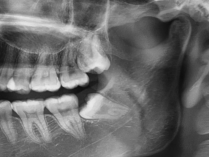
②生长位置不正智齿长歪挤压邻牙或出现阻生智齿。

智齿长歪和相邻的恒牙挤着生长,会不易清洁,当生长空间不足时,还会出现严重的牙龈肿胀,甚至导致前牙歪斜、排列拥挤,牙列不齐阻生智齿(智齿刺客)通常都埋在牙槽骨里面,非常容易被忽略,需要通过拍牙片诊断。

③ 总是塞牙

智齿与邻牙位置关系异常或智齿萌出不全。智齿萌出空间不足,与邻牙无法形成好的邻接关系,就会容易造成塞牙,并且难以清洁。长此以往,会影响邻牙健康或造成智齿冠周炎。

④ 反复发炎

智齿冠周炎或蛀牙导致牙神经发炎。

牙龈肿痛说明出现炎症,如果控制不好,会出现面部肿胀,甚至导致颌面部多间隙感染。(智齿发炎时不建议马上拔除,需到正规医院进行局部冲洗上药消除炎症,不肿不痛后,再拔除智齿。

⑤正畸需要

正畸为了排齐拥挤的牙列,一般会拔掉智齿等不重要的牙齿,腾出位置,保证矫正效果。由于智齿萌出造成牙齿错位变形更需要拔除。

⑥没有对应咬合的牙齿

如果智齿没有上下成对,或已经拔除,智齿没有对牙咬合,很容易萌出过度,不能建立正常的咬合关系,可能会导致颞下颌关节弹响、张口疼痛、夜里磨牙、耳鸣等症状。

作者:徐云云

关于我们
医院环境
尖端设备
医院动态
诊疗项目
牙齿种植
牙齿矫正
牙齿美白
牙齿修复
牙周治疗
儿童齿科
颌面外科
专家团队
口腔种植专家
儿童口腔专家
美容修复专家
牙齿正畸专家
牙周治疗专家
公益活动
走进校园
走进社区
走进名企
爱牙足迹
联系我们
爱牙足迹
预约治疗

院长微信    官方微信
咨询电话:13563821789(同微信号)
0538-8427028

版权所有:泰山口腔医院
   鲁ICP备2025176544号-1