全国服务咨询热线:13563821789
0538-8427028
泰山口腔医院

手机:13563821789
电话:0538-8427028
邮箱:tazskq@163.com
网址:www.tayake.com
地址:泰安市泰山区财源街道三里社区三里路10号

儿童龋齿的治疗

发布时间: [2023-7-5-8:35:35]    浏览量:365次

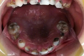
儿童蛀牙建议及时修补,避免龋坏更加严重。


两岁以后乳牙全部萌出,六周岁左右开始恒牙逐渐替代乳牙。在这期间儿童不注意口腔清洁,经常有食物残留,细菌就会腐蚀牙齿牙釉质形成蛀牙。

作者:夏凡

关于我们
医院环境
尖端设备
医院动态
诊疗项目
牙齿种植
牙齿矫正
牙齿美白
牙齿修复
牙周治疗
儿童齿科
颌面外科
专家团队
口腔种植专家
儿童口腔专家
美容修复专家
牙齿正畸专家
牙周治疗专家
公益活动
走进校园
走进社区
走进名企
爱牙足迹
联系我们
爱牙足迹
预约治疗

院长微信    官方微信
咨询电话:13563821789(同微信号)
0538-8427028

版权所有:泰山口腔医院
   鲁ICP备2025176544号-1