全国服务咨询热线:13563821789
0538-8427028
泰山口腔医院

手机:13563821789
电话:0538-8427028
邮箱:tazskq@163.com
网址:www.tayake.com
地址:泰安市泰山区财源街道三里社区三里路10号

乳牙为什么迟迟不掉呢

发布时间: [2023-7-5-8:12:38]    浏览量:331次

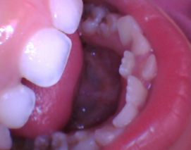
宝宝一般从6-7岁开始换牙,乳牙逐渐脱落,恒牙相继萌出。恒牙已经萌出,相应位置上的乳牙尚未脱落,叫做“乳牙滞留”。

1)常见下颌乳中切牙滞留,恒中切牙于舌侧萌出,呈现双排牙现象。继承恒牙已经萌出,滞留的乳牙应该拔除。

2)上颌滞留的乳牙一定要尽早拔除,以免造成恒牙反合,俗称“地包天“如果已经出现反合现象,一定要密切监测,在前牙萌出后尽早进行矫正。

注意:如X线片上显示没有继承恒牙,而乳牙吸收不多,又可行使咀嚼功能,则建议保留。

如何预防乳牙滞留

1、定期检查乳牙:一般应3个月-半年左右检查一次,如发现儿童乳牙未脱落,恒牙已萌出或者龋洞,应速去医院就诊。

2、纠正不良饮食习惯:少吃松软、甜、黏的食物,应多吃些粗粮、蔬果等富含纤维的食物,以及坚果等,以增加牙齿的咀嚼能力,促进牙床、颌骨与面骨的发育,以保持对乳牙良好的生理性刺激作用,促使乳牙牙根吸收以及自然脱落,顺利换牙。

3、认真刷牙漱口:教育宝宝养成早晚刷牙、饭后漱口,保持口腔清洁卫生。

4、纠正不良习惯:如咬唇咬舌、咬物、吮指、舔牙,口呼吸等不良习惯,可诱发牙间隙增宽、牙齿倾斜、局部开颌、牙前突等表现,影响面容及恒牙的生长。

作者:王婷婷

关于我们
医院环境
尖端设备
医院动态
诊疗项目
牙齿种植
牙齿矫正
牙齿美白
牙齿修复
牙周治疗
儿童齿科
颌面外科
专家团队
口腔种植专家
儿童口腔专家
美容修复专家
牙齿正畸专家
牙周治疗专家
公益活动
走进校园
走进社区
走进名企
爱牙足迹
联系我们
爱牙足迹
预约治疗

院长微信    官方微信
咨询电话:13563821789(同微信号)
0538-8427028

版权所有:泰山口腔医院
   鲁ICP备2025176544号-1