全国服务咨询热线:13563821789
0538-8427028
泰山口腔医院

手机:13563821789
电话:0538-8427028
邮箱:tazskq@163.com
网址:www.tayake.com
地址:泰安市泰山区财源街道三里社区三里路10号

什么是洗牙?

发布时间: [2023-7-4-15:15:23]    浏览量:328次

洗牙俗称龈上洁治术,又称洁牙,是指用洁治器械去除牙面上附着的牙石、菌斑和色渍,并磨光牙面,以延迟菌斑和牙石再沉积。

为什么要洗牙?

洗牙的目的是清洁牙石,把牙缝里的牙石、软垢清理出来,避免细菌以牙石为温床,大量繁殖、增生牙龈问题,保护我们的牙周健康,同时定期洗牙是口腔维护和保养的重要组成部分,可以较早的发现牙齿的问题,比如早期的龋齿。

洗牙有什么好处?

1、可以预防牙龈炎,洗牙可以通过超声波的震动去除牙齿上的牙结石等不良刺激物,因为牙结石的堆积会导致牙龈炎症。

2、有助于早期发现口腔疾病,定期洗牙,医生可以在清洁牙齿的过程中发现牙齿隐藏的疾病。

3、去除口臭,洗牙可以进行口腔的清洁,去除牙菌斑等导致口臭的因素。其缺点是如果频繁洗牙可能会损坏牙床,导致牙齿松动;牙齿比较敏感的患者洗牙后可能会有牙齿酸软的感觉,但是一般1周左右就可以缓解。建议患者到正规的医院,每6-12个月洗1次牙,定期维护口腔健康。

洗牙对自己健康的牙齿有坏处吗?

洗牙是没有什么坏处的。有的患者以为洗完牙之后会导致牙齿缝隙变大,其实这只是一种错觉。牙结石被清除掉之后,会让患者误以为牙齿缝隙变大了。有的患者认为洗牙会损伤牙釉质。目前医院常用的是超声波洗牙的方法,是利用的高频振动将牙结石去除,对牙釉质没有损伤。洗牙之后导致的牙齿敏感也只是暂时性的,一般一周左右就会有所缓解。所以洗牙没有什么坏处,相反洗牙还能够预防很多口腔疾病。

哪类人群不建议洗牙?

1、使用心脏人工起搏器的患者:禁止进行超声洗牙,以避免因干扰起搏器的工作而造成患者心律紊乱等症状。

2、患有牙龈部恶性肿瘤的患者:不易接受常规洗牙,以避免肿瘤扩散。

3、患有活动性心绞痛、半年内发作过的心肌梗死以及未能有效控制的高血压和心力衰竭等的患者不易接受常规洗牙治疗。

4、口腔局部软硬组织炎症处于急性期的患者:急性坏死性牙龈炎除外,应该待急性期过后再洗牙,以避免炎症延血液播散。

5、患有各种出血性疾病的患者:如血小板减少症患者、白血病患者、未控制的甲亢等的患者应该预先适量应用促凝血药物,控制凝血速度,以免洗牙时出血不止。

6、患有某些急性传染病的患者:如急性肝炎活动期、结核病患者等,也应等疾病稳定后,才可到医院进行洗牙。

7、孕妇:应该在怀孕前接受彻底的口腔治疗,怀孕期间(尤其是前三个月和后三个月)洗牙会使流产的概率大大增加。

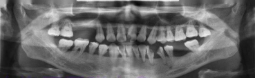
牙周炎患者X光片,全口牙齿出现2~3度的松动,无法咀嚼。

洗牙前后图片对比

作者:彭程

关于我们
医院环境
尖端设备
医院动态
诊疗项目
牙齿种植
牙齿矫正
牙齿美白
牙齿修复
牙周治疗
儿童齿科
颌面外科
专家团队
口腔种植专家
儿童口腔专家
美容修复专家
牙齿正畸专家
牙周治疗专家
公益活动
走进校园
走进社区
走进名企
爱牙足迹
联系我们
爱牙足迹
预约治疗

院长微信    官方微信
咨询电话:13563821789(同微信号)
0538-8427028

版权所有:泰山口腔医院
   鲁ICP备2025176544号-1