全国服务咨询热线:13563821789
0538-8427028
泰山口腔医院

手机:13563821789
电话:0538-8427028
邮箱:tazskq@163.com
网址:www.tayake.com
地址:泰安市泰山区财源街道三里社区三里路10号

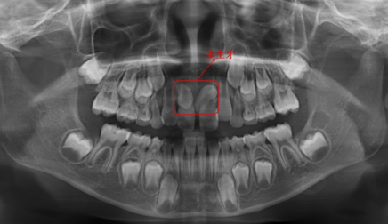
多生牙

发布时间: [2023-6-13-9:17:24]    浏览量:359次

  多生牙通常是指额外的牙齿,多生牙主要是由于遗传因素或者是牙胚先天发育异常所导致的,如果出现多生牙的情况,容易导致牙齿拥挤,而且参差不齐的不良症状,在吃饭的时候容易出现食物嵌塞的症状,并且还会影响到口腔内的美观,因此如果出现多生牙的情况,要在牙齿已经萌出的情况下拔除,此时拔除牙齿创伤不是很大,而且恢复的也比较快,但是在拔多生牙时要排除是正常恒牙。

  多生牙位置是比较深的,长期不处理是会影响周围的组织的,因此需要找到合适的时机拔除。


关于我们
医院环境
尖端设备
医院动态
诊疗项目
牙齿种植
牙齿矫正
牙齿美白
牙齿修复
牙周治疗
儿童齿科
颌面外科
专家团队
口腔种植专家
儿童口腔专家
美容修复专家
牙齿正畸专家
牙周治疗专家
公益活动
走进校园
走进社区
走进名企
爱牙足迹
联系我们
爱牙足迹
预约治疗

院长微信    官方微信
咨询电话:13563821789(同微信号)
0538-8427028

版权所有:泰山口腔医院
   鲁ICP备2025176544号-1