全国服务咨询热线:
13563821789
0538-8427028
网站首页
关于我们
社会公益
医院动态
就医时间
医院环境
骨干团队
口腔科普
经典案例
经验交流
人才招聘
在线咨询
来院路线
+
泰山口腔医院
+
泰安牙齿矫正丨正畸矫..
+
泰山口腔丨刷牙不正确..
+
泰山口腔丨隐藏的龋病..
+
泰山口腔丨恐怖的可乐..
+
泰山口腔丨牙龈出血怎..
+
泰山口腔丨牙齿问题要..
+
泰山口腔丨慢性牙齿杀..
泰山口腔医院
手机:13563821789
电话:0538-8427028
邮箱:tazskq@163.com
网址:www.tayake.com
地址:泰安市泰山区财源街道三里社区三里路10号
口腔科普
整牙为什么需要拔牙?
发布时间: [2023-6-12-14:10:2] 浏览量:300次
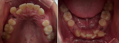
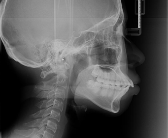
1、牙列严重拥挤
2、侧貌凸
3、咬合不良
关于我们
医院环境
尖端设备
医院动态
诊疗项目
牙齿种植
牙齿矫正
牙齿美白
牙齿修复
牙周治疗
儿童齿科
颌面外科
专家团队
口腔种植专家
儿童口腔专家
美容修复专家
牙齿正畸专家
牙周治疗专家
公益活动
走进校园
走进社区
走进名企
爱牙足迹
联系我们
爱牙足迹
预约治疗
院长微信 官方微信
咨询电话:13563821789(同微信号)
0538-8427028
版权所有:泰山口腔医院
鲁ICP备2025176544号-1