全国服务咨询热线:13563821789
0538-8427028
泰山口腔医院

手机:13563821789
电话:0538-8427028
邮箱:tazskq@163.com
网址:www.tayake.com
地址:泰安市泰山区财源街道三里社区三里路10号

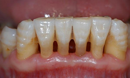
牙齿松动了怎么办?

发布时间: [2023-6-8-14:48:47]    浏览量:328次

  牙龈退缩,引起牙槽骨的吸收退化,最后引起牙齿松动。 其次,是受到外力的机器碰撞或咬硬的东西引起的牙齿松动。


牙齿松动的严重结果是牙齿脱落了。出现了牙周炎并且已经导致牙齿松动有什么好的治疗方法呢?

1、根管治疗

对于根尖周炎急性发作时出现的牙齿松动,必须短时间控制炎症,待症状缓解后,牙齿松动也就减轻或消失。

2、牙周治疗

牙周发炎引起的牙齿松动应及早就诊,可以到专业的口腔医院通过洗牙,减轻齿牙周边的炎症发生和加重,缓和牙槽骨被吸收,但需要重复多次。

3、种植牙修复

牙齿松动大的话,就没有治疗价值了,但是医生建议拔掉松动的牙齿后再安装植牙。已经松动的牙齿会影响到周围牙齿的健康,进而也会到其他牙齿松动,所以拔掉没有价值的牙齿也是很好的治疗方法。


关于我们
医院环境
尖端设备
医院动态
诊疗项目
牙齿种植
牙齿矫正
牙齿美白
牙齿修复
牙周治疗
儿童齿科
颌面外科
专家团队
口腔种植专家
儿童口腔专家
美容修复专家
牙齿正畸专家
牙周治疗专家
公益活动
走进校园
走进社区
走进名企
爱牙足迹
联系我们
爱牙足迹
预约治疗

院长微信    官方微信
咨询电话:13563821789(同微信号)
0538-8427028

版权所有:泰山口腔医院
   鲁ICP备2025176544号-1