全国服务咨询热线:13563821789
0538-8427028
泰山口腔医院

手机:13563821789
电话:0538-8427028
邮箱:tazskq@163.com
网址:www.tayake.com
地址:泰安市泰山区财源街道三里社区三里路10号

定期洁牙的重要性

发布时间: [2023-5-16-8:36:36]    浏览量:307次

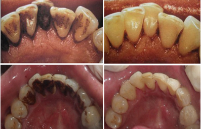
牙菌斑就是各种口腔问题的罪魁祸首,牙菌斑清除不到位每天都在堆集,再加上唾液中的矿物盐逐渐沉积,也在逐渐钙化形成牙结石,所以定期洗牙就像定期大扫除一样。如果想让牙齿健康,就用洗牙的方法来补充平时刷牙所遗漏的东西,长久地保持口腔环境的清洁,才能维护牙周组织的健康。


关于我们
医院环境
尖端设备
医院动态
诊疗项目
牙齿种植
牙齿矫正
牙齿美白
牙齿修复
牙周治疗
儿童齿科
颌面外科
专家团队
口腔种植专家
儿童口腔专家
美容修复专家
牙齿正畸专家
牙周治疗专家
公益活动
走进校园
走进社区
走进名企
爱牙足迹
联系我们
爱牙足迹
预约治疗

院长微信    官方微信
咨询电话:13563821789(同微信号)
0538-8427028

版权所有:泰山口腔医院
   鲁ICP备2025176544号-1